Main Etiologies
Cells that accidentally die in response to acute damage,trauma,lack of blood supply and chemicals/drugs.
These cells are not subjected to any regulatory and selective mechanism,and thus die through a process of cell necrosis
Acute Damage |
Trauma |
Lack of Blood Supply |
Chemicals or Drugs |

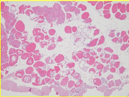
disorganization seen 25 min post endopeel

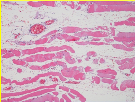
reorganization 60 min after endopeel
EXPERIMENT
after 0.05 ml endopeel injection
Department of Organ and System Research, Akita University, School of Medicine and YMC-Biyou Yokohama Minato and Shinjuku Clinics
ANALYSIS :Sapporo pathological Research Institute Ltd.
Consequences
Cells in a state of necrosis swell and explode,pouring their contents into the surrounding region,contaminating the environment in which the other cells reside,causing and triggering an inflammatory response,spreading like a chessboard,advancing as a degrading factor.
Necrosis is a process in which there is a loss of energy (therefore loss of signaling factors),leading to defects in the metabolism consequent to the loss of the ionic gradients(these gradients present on the 2 sides of the plasma cell membrane.)
